‹link rel="shortcut icon" href="favicon.ico" type="image/x-icon" /›


Hlavná ponuka:
ENDODONCIA:
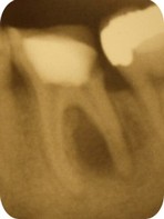
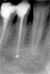
Pri rozsiahlom poškodení korunky zuba zasahujúcim až do dreňovej dutiny alebo pred zhotovením niektorých protetických prác je nutné preliečiť koreňové kanáliky zuba tzv. "vybrať nerv". Ošetrenie koreňových kanálikov sa robí vždy v lokálnom znecitlivení a pomocou najmodernejších nástrojov a techník preparácie. Veľmi často ošetrujeme aj koreňové kanáliky, ktoré už boli raz ošetrené, ale nekvalitne. Zub, ktorý má kvalitne ošetrený koreňový kanálik môže mať rovnakú životnosť, ako zdravý zub.
Tento výkon je tiež nutné vykonať pri liečbe infekcie na hrote koreňa zuba. Koreňové kanáliky je nutné rozšíriť na potrebnú veľkosť, prečistiť a hermeticky uzatvoriť (definitívne endodontické ošetrenie). V niektorých prípadoch nie je možne definitívne ošetrenie koreňových kanálikov pri jednej návšteve, napr. ak je prítomná infekcia na hrote koreňa zuba chronická periodontitída.
V takýchto prípadoch sa na určité obdobie aplikuje do koreňových kanálikov tzv. dezinfekčná vložka, a zub je uzatvorený provizórnou výplňou na dobu potrebnú k vyliečeniu infekcie. Väčšina endodonticky ošetrených zubov má dobrú prognózu, a takto ošetrený zub si aj naďalej plní svoju funkciu. Úspešnosť týchto zákrokov je veľmi vysoká.

paradontologický zápal paliatívne endodontické ošetrenie