‹link rel="shortcut icon" href="favicon.ico" type="image/x-icon" /›


Hlavná ponuka:
ESTETICKÁ STOMATOLÓGIA:
Bielenie zubov
Jedná sa o zosvetlenie vlastnej, prirodzenej farby zubov. Jeho úspešnosť závisí na mnohých faktoroch a je predmetom dôkladnej konzultácie s lekárom pred zahájením vlastného procesu bielenia. Rozlišujeme vonkajšie bielenie, domáce alebo ordinačné a bielenie vnútorné (bielenie tzv. mŕtvych zubov).
Domáce bielenie: pacient si nanáša špeciálny bieliaci gél na noc do nosičov vyrobených na základe odtlačkov zuboradí v laboratóriu. Gél je aplikovaný na zuby tak dlho dokiaľ pacient nie je spokojný s odtieňom svojich zubov. Nosiče sa vkladajú do úst na celú noc, k uspokojivému výsledku treba zvyčajne 6-8 noci v závislosti od stupňa zafarbenia zubov. Poučenie a inštruktáž vykonáva ošetrujúci lekár.
Ordinačné bielenie: zuby sú bielené špeciálnym gélom. Celé ošetrenie trvá približne 60 minút. V niektorých prípadoch je nutné podstúpiť 2-3 takéto sedenia v závislosti od stupňa zafarbenia pacientových zubov. Približne za hodinu dosiahneme zmeny farby zubov o niekoľko stupňov.
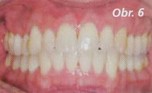
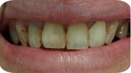
Vnútorné bielenie sa vykonáva u zubov ktoré stratili vitalitu a sú endodonticky ošetrené (koreňové kanáliky sú definitívne hermeticky uzatvorené). U týchto tzv. mŕtvych zubov dochádza v niektorých prípadoch zmene farby zubu z vnútra. Takto zafarbené zuby je možne vybieliť tzv. vnútorným bielením, ktoré prebieha v niekoľkých návštevách zvyčajne 3-4. Výsledný efekt je veľmi presvedčivý. Postup znázorňuje obr.1 až obr.6:


Plombovanie
materiály, ktoré používame na zhotovenie bielych výplní pochádzajú výhradne od renomovaných značiek a patria medzi najlepšie na trhu. Kvalitné kompozity sa vyrábajú vo viacerých farbách a odtieňoch, a sú svojimi vlastnosťami určené pre tvorbu vysokoestetických plomb a rekonštrukciu predných, ale aj zadných zubov.
Pečatenie
dôvodom pečatenia zubov je fakt, že žuvacie plochy zubov majú členitý, ryhovaný, niekedy až porézny povrch. Tento povrch je vhodné miesto na ukladanie zvyškov potravy, v ktorých najčastejšie dochádza k procesom, vedúcim k tvorbe zubného kazu. Predísť tomuto je možné zapečatením uvedených rýh. Zub ošetrený takýmto spôsobom, má hladký povrch a nemá hlboké ryhy, do ktorých by sa mohli usadzovať zvyšky jedla. Toto je základný princíp preventívnej ochrany žuvacích plôch pred zubným kazom.
Fotokompozitné výplne
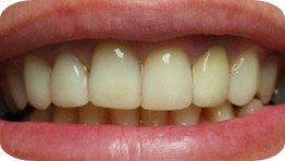
Jedná sa o vysoko estetické, dostatočne odolné, a pre opravu zubov v línii úsmevu nezastupiteľné materiály. Fotokompozit je materiál, ktorý sa viaže k zubu mikromechanicky a chemicky. Aby bola výplň z fotokompozitného materiálu kvalitná a trvanlivá, vyžaduje vrstvenie, t.j. postupné nanášanie a osvecovanie malých vrstvičiek hmoty do zubu. Preto je zhotovenie fotokompozitnej výplne časovo i technicky náročné. Fotokompozitné materiály sú používané nielen ako výplne, ale taktiež slúžia k estetickej úprave predných zubov pri ich zlom postavení, tvare a zafarbení (tzv. priame fazety). V prípade prítomnosti veľkých medzier medzi zubami je možné zuby fotokompozitom rozšíriť a tým medzery zmenšiť.

pred ošetrením po ošetrení
Nepriame výplne (inlay, onlay, overlay)
Tvoria prechod medzi tradičnou výplňou zuba a korunkou. Používajú sa predovšetkým na rekonštrukciu rozsiahlejších defektov hryzacích plôch zubov. Pre ich výrobu je nutné zub špeciálne upraviť a odtlačiť. Nepriamu výplň zhotovuje zubný technik v laboratóriu. Zub je dočasne uzatvorený provizórnou výplňou. Nepriama výplň sa fixuje do zuba špeciálnym cementom.
Fazety
Táto metóda sa využíva pre zacelenie a uhladenie nerovných plôch, prasklín, farebných a tvarových handicapov či pri nepriaznivom postavení predných zubov. Ide o relatívne rýchlu a bezbolestnú metódu, pri ktorej sa odníma malá časť skloviny za účelom zmeny tvaru, dĺžky a povrchu zubu. Rozlišujeme fazety priame zhotovenej priamo v ordinácii ošetrujúcim lekárom z fotokompozitného materiálu a fazety nepriame zhotovené v laboratóriu na základe odtlačku buď z keramiky alebo kompozitu. Ich výhodou je minimálna invázia do tvrdých zubných tkanív.

pred ošetrením po ošetrení
Most na sklenených vláknach
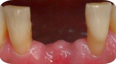
Vhodnou indikáciou k zhotoveniu mostu na sklenených vláknach je jeden chýbajúci zub. Princípom tohto riešenia je prilepenie zväzku sklenených vlákien na zuby, ktoré susedia s medzerou pričom zásah na zuboch susediacich s medzerou je minimálny. Na takto pripravené sklenené vlákna sa z fotokompozitného materiálu modeluje zub, ktorý funkčne aj esteticky nahrádza pôvodný zub (v niektorých prípadoch je možné použiť aj vlastný zub ktorý sa špecificky upraví pre fixáciu na sklenené vlákna). Výhoda tohto ošetrenia je minimálny respektíve žiadny zásah do okolitých zubov, výborná estetika, rýchlosť zhotovenia a v neposlednom rade aj cenová dostupnosť toho ošetrenia v porovnaní s protetickým ošetrením alebo implantologickým riešením náhrady chýbajúceho zubu.

paradentózne zuby po extrakcii most na sklenených vláknach